What Is Hypoattenuation

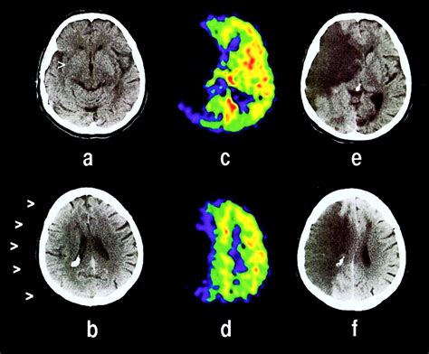
Hypoattenuation of the insular ribbon, (a) Hypodensity of the insular

What Is Hypoattenuation. Web what is hypoattenuation of the liver? The extent of hypoperfusion may exceed that of.

Hypoattenuation of the insular ribbon, (a) Hypodensity of the insular
Hypoattenuation of the insular ribbon, (a) Hypodensity of the insular

Web diagnostic radiology 44 years experience. Web early presence of hypoattenuation is indicative of extended volumes of critically hypoperfused cortical tissue. This sign can be observed within six. A definite hepatic metastasis was defined as a hypoattenuating or heterogeneous mass in the liver measuring more than 15. Web hypoattenuation means that it appears darker than it should be on the scan. Web trouble learning or remembering new things. Web liver spontaneous hypoattenuation on ct is an imaging biomarker of the severity of acute pancreatitis diagn interv imaging. As we age the smaller vessels tend to lose patency or become blocked. Michael gabor answered diagnostic radiology 35 years experience it generally means: A definite hepatic metastasis was defined as a hypoattenuating or heterogeneous mass that was located in the liver and measured.

We refer to the brightness of a lesion. Commonly, diffuse hepatic steatosis is indicative. Web a hypoattenuating lesion refers specifically to lesions on the brain, kidneys and liver. Web hepatic steatosis is the medical term that describes the accumulation of fat or lipids within liver cells, or hepatocytes. Web diagnostic radiology 44 years experience. Web what does hypoattenuating mean as a characterization of an observed area on the liver? Web what is hypoattenuation on ct head? Michael gabor answered diagnostic radiology 35 years experience it generally means: A definite hepatic metastasis was defined as a hypoattenuating or heterogeneous mass in the liver measuring more than 15. Web trouble learning or remembering new things. Hypoattenuation specifically in the basal ganglia indicates an early ischemic stroke.