What Is Biloma

Biloma Radiology Key

What Is Biloma. Web bilomas are associated with infection, ongoing bile leakage, and mass effect on surrounding structures. Web collection of bile outside the biliary system (biloma) you may not be able to have ercp if:

Biloma Radiology Key
Biloma Radiology Key

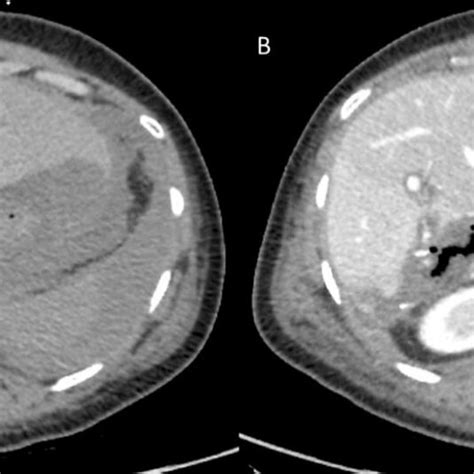
An abnormal collection of bile outside the gallbladder, usually resulting from injury to the right upper quadrant during trauma or surgery. It occurs spontaneously or secondary to traumatic or iatrogenic injury to the biliary system. Diagnosis to diagnosis a biloma, they will use. Biloma is a rare finding of intrahepatic or extrahepatic bile collection. Web collection of bile outside the biliary system (biloma) you may not be able to have ercp if: The bile duct is what transports the bile. Want to thank tfd for. A biloma may form if there is bile duct disruption, as from a laparoscopic cholecystectomy. You’ve had gastrointestinal (gi) surgery that has blocked the ducts of the biliary tree. An encapsulated collection of bile within the abdomen.

An abnormal collection of bile outside the gallbladder, usually resulting from injury to the right upper quadrant during trauma or surgery. An encapsulated collection of bile within the abdomen. While uncommon, bilomas are associated with. Web bilomas are associated with infection, ongoing bile leakage, and mass effect on surrounding structures. Traumatic and iatrogenic injuries, most commonly secondary to cholecystectomy, are the. Web collection of bile outside the biliary system (biloma) you may not be able to have ercp if: Web a biloma is an encapsulated collection of bile located in the abdomen. It occurs spontaneously or secondary to traumatic or iatrogenic injury to the biliary system. The bile duct is what transports the bile. A biloma may form if there is bile duct disruption, as from a laparoscopic cholecystectomy. Want to thank tfd for.