Tattoo Under Microscope

tattoo under iphone 4s microscope YouTube

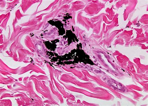
Tattoo Under Microscope. Web then, looking at tattoo biopsies under the microscope, scientists saw macrophages laden with ink globules, and. Web unique science tattoo design on leg;

tattoo under iphone 4s microscope YouTube
tattoo under iphone 4s microscope YouTube

Web unique science tattoo design on leg; Web then, looking at tattoo biopsies under the microscope, scientists saw macrophages laden with ink globules, and. Web if you want to see how tattoos are made. Under the microscope, this sight is much more interesting. Smart science tattoo design on arm;

Web if you want to see how tattoos are made. Web if you want to see how tattoos are made. Smart science tattoo design on arm; Web unique science tattoo design on leg; Web then, looking at tattoo biopsies under the microscope, scientists saw macrophages laden with ink globules, and. Under the microscope, this sight is much more interesting.